Domestic cats

Munchkin: a description of the breed of cats, types and content

Munchkin: a description of the breed of cats, types and content

join the discussion

 
Content
  1. History of origin
  2. Description
  3. Character traits
  4. Lifespan
  5. Kinds
  6. Conditions of detention
  7. Feeding
  8. Health
  9. Owner reviews

Cats of the Munchkin breed have a pronounced difference from their relatives - short legs. Because of this feature, animals are often compared to dachshund. Dwarf cats are considered to be a fairly young breed of cats, so it has not yet received wide distribution in Russia.

History of origin

Unlike many breeds of the feline family, the Munchkins were bred in a non-selective manner. They are not much different from other breeds. Characteristic difference of animals is short paws. This type of cat became known in Europe about 100 years ago. Short-haired pets with an unusual genome aroused great interest among people. Often you could find news about cats with short legs on the front pages of newspapers.

But the interest in animals quickly faded away, and the breed was not patented. The reason for this was the Second World War. During this period, there was a sharp decline in the number of short-haired cats.

But animals with a similar mutation continued to be born, breeders could not ignore this phenomenon. Experts began to cross dwarf cats with other breeds that had the usual length of limbs. The experiments had amazing results. After such a cross, most kittens were born with short legs.

Due to the peculiarities of munchkin breeding, they have a diverse appearance. Often you will notice that animals are a dwarf analogue of a certain breed of cats. Therefore, when crossing it is enough that only one parent has this feature. With high probability, the offspring will be born with the same mutation.

Often, the owners of these pets resort to a similar method of breeding animals.

As a result of the increase in the number of representatives of short-footed cats, the breed received its recognition. Officially munchkins presented to the public in America. It happened in New York, the event dates back to 1991. The International Cat Association recognized the short-fingered representatives of the cat family several years later - in 1995. These animals were brought to Russia only at the beginning of the 19th century; therefore, they are still not popular enough in the domestic market.

Description

These exotic animals often cause positive emotions in people who see them for the first time. Their short legs give a lot of originality to the appearance of cats. This length of the limbs does not interfere with the animals to function normally. Today there are no defined breed standards, however, the main criteria for the appearance of the munchkins are already defined.

  • The head of the short-haired cat is of medium size, its silhouette resembles a wedge. Despite the characteristics of this breed, the head and the body are proportional to each other.
  • The nose of the animal is medium in size and has a slight deflection.
  • The ears are quite high and wide, to the tips have a rounded shape. Wool on them fluffy.
  • Big eyes are located widely at a certain angle to the ears. The color is usually saturated and monophonic, it does not depend on the shade of wool.
  • The massive neck of an animal has an average length.
  • Body munchkins proportional, not counting the limbs. Front feet a little shorter than the rear. The skeleton of animals cannot be called lightweight, but it is not heavy either. Muscles of cats are well developed.The tail is equal to the length of the body, in the process of movement, it always has a vertical position.
  • Paws of dwarf cats are considered their most important feature. They are shorter than other cats, but they are straight. Some representatives have a slight curvature. This mainly concerns the forelimbs.
  • The weight of males can reach 4 kilograms.
  • The weight of females is usually 3 kilograms.
  • There are no specific criteria for cat fur. Long-haired representatives are distinguished by the presence of a thick collar and silky coating. Due to the high level of density, the cat's fur can protect it from various damages. Shorthair munchkins are inherent in thick and shiny coat.
  • Color dwarf cats can be varied: red, black, white.

The color palette has no restrictions.

Character traits

Like many pets, munchkins have individual characteristics in character. It is worth noting that these cats are not suitable for keeping outdoors, as short limbs do not give them the opportunity to hunt. The rest of the kittens are not inferior to their relatives. They delight their owners from the very first minutes of being in the house. All things on small heights will not be touched by the pet. Therefore, the owners do not have to worry about the integrity of the interior.

However, this feature does not prevent the animal from being energetic. Pets are very good run, but they do not know how to jump high. Often, kittens are called kenguryats because of their inherent posture. Animals can sit on their hind legs, while the tail serves as a support. The forelimbs are not involved in this process and just hang down.

Small items are best kept away from the munchkins. Pets love to drag them away and hide from households' eyes.

These cats are considered very friendly, they quickly get used to people and are not afraid of guests in the house. Pygmy cat will become the best friend for its owner. With all their activity, pets are considered to be quite calm and cool. They have a strong psyche and are not prone to stress. The mobility is moderate compared with many representatives of the species with long legs. Munchkins are very kind animals, they love to play with children and do not show aggression towards them. The intelligence of cats is very well developed, these pets will have time everywhere, they definitely need to find out everything.

Typically, these cats give birth to people who like exotic and original in appearance and nature of animals. These pets can easily dispel boredom in your home.

Lifespan

The life span of a munchkin depends largely on the proper care of them. On average, they live from 12 to 16 years. This indicator is much lower than that of other representatives of the species. But with proper maintenance of the pet, it is possible to extend his life to 20 years.

In time to recognize diseases and to know about genetic abnormalities, if any, Munchkin should make an appointment with a veterinarian. Such trips should be arranged twice a year.

If it is necessary, then on the recommendation of a specialist, it is desirable to undergo a thorough examination.

The pledge of good animal health is the right diet and active lifestyle. For this, it is desirable to provide the pet with the necessary number of toys. Then he will have to spend his energy. Walking in the fresh air can also prolong the life of your pet. Though the munchkins and couch potatoes, they are not averse to spending some time with their owner in the fresh air. The apartment should also create a pleasant microclimate. To do this, you must regularly carry out wet cleaning and airing the room.

If you follow the proposed rules, you can significantly extend the life of your pet.

Kinds

In the first stages of breeding short-felled representatives of the cat, they were crossed with various breeds. Therefore, the appearance of animals is quite diverse.

According to the deviation from the standard, a separate species is distinguished - the lop-eared munchkin. It differs in the structure of the ears. The appearance of such a munchkin is very similar to the Scottish breed of cats. This is due to a genetic disorder that is related to the structure of the ears and the skeleton. As a separate species, such cats cannot exist, as due to a similar mutation in the progeny of lop-eared cats, health problems can arise.

According to the length of the coat, such species are distinguished.

  • Long-haired munchkin. These furry representatives of dwarf cats have a semi-long dense coat. Its structure is silky. Such munchkins have a small undercoat. The collar area is noticeably highlighted. Coat color can be varied: from snow white to black.
  • Shorthair Munchkin. The length of the coat in these cats is average. Coat has a plush structure. The animal has a small undercoat. Color can also be different.
Longhair
Short-haired

    Munchkins are also distinguished by the size of the legs:

    • dwarf;
    • ultrashort-legged;
    • standard.

    Despite the original structure of the dwarf cat, its appearance is practically no different from other breeds of this species. Munchkins became the ancestors of new breeds, they are often called gnomes. By crossing a short-fingered cat and a Canadian sphinx breeders have received a variety called bambino.

    Another popular affiliate breed is considered to be the gnet. She appeared after crossing the munchkin with a Bengal cat.

    Bambino
    Gnetta

    Conditions of detention

    Before you have a dwarf cat, you must choose a place to sleep a pet. This may be an ordinary stove bench or a house for a cat. In addition, you should buy all the necessary items to care for the animal. The content of the munchkins does not present enormous difficulties, it is enough to adhere to the basic rules.

    • Bathing. Like many breeds of cats, dwarf pets have a negative attitude to water procedures. Therefore, it is not necessary to bathe them often and without good reason. In the year bath day is arranged no more than 6 times. To avoid water getting into your ears, you should insert cotton swabs into them. For wool, you must purchase a special shampoo. Apply it in the direction of the growth of wool. Wash head shampoo is undesirable. It is best to just moisten it with water. Pet rubbing with a towel is not recommended. You need to get him wet.

    If desired, you can dry your hair on a small capacity with a hair dryer. The cover should be left slightly undersized, so the hair will remain strong and will not lose its natural shine.

    • Grooming. You should comb your pet at least once a week. For this purpose, suitable comb with closely spaced teeth. Hair can be collected from the surface using silicone gloves. To keep the wool radiant, it is necessary to wipe it with a suede or silk fabric. If the pet has a long coat, the procedure should be repeated more often - once every two days. First you need to unravel the hair with a scallop, after which the unnecessary undercoat is removed. Laying the coat is necessary with a massage brush.
    • Eye and ear treatment. Short-footed cats rarely suffer from problems associated with these organs. If secretions appear in the corners of the eyes, they should be immediately processed. To do this, just use a wet swab on a gauze basis. Ears should be carefully monitored and cleaned once a week. They are cleaned of various impurities with a cotton pad pretreated with a cosmetic.
    • Foot care. Pet's nails are quite sharp, so to avoid injury, you must trim them.It is recommended to get a cat for a cat. It will help to grind off the top horny layer of nails. The procedure for cutting nails should be carried out at least once a month. All irregularities, it is desirable to handle a nail file.
    • Oral hygiene. Dwarf cats have very strong gums, they rarely have inflammation. Brush teeth for your pet twice a week. To do this, you need to buy toothpaste and a brush for the cat.
    • Restroom. Owners rarely have problems harassing their pets to the tray. It suffices only once to show the Munchkins their new toilet, after which they will only need to be there. It is not necessary to comply with certain requirements when choosing a toilet, the main thing is that it fits the cat in size.
    • Walking These pets are pets, so frequent walking is not required. It is not recommended to release cats on the street without supervision. Walk them better, using a harness.

    Feeding

    The number of meals and the volume of servings directly depends on the age of the munchkins. Newborn kittens must be fed at least 5 times a day. From 4 months the number of meals should be reduced to 3 times per day. Their diet should consist of meat, cereals and low-fat dairy products. At the age of one year, usually a pet should eat 2 times a day. In the diet of an adult cat, you can add fish, cleared of bones, and vegetables. Often, pet owners resort to using feeds that contain all the necessary nutrients. Preferably buy premium food.

    Products to be included in the munchkin daily diet:

    • natural dairy products;
    • lean meat;
    • fish (herring, trout, salmon);
    • vegetables (except potatoes);
    • egg yolk;
    • offal (preferably liver).

    Before serving food to a pet, it is recommended to boil vegetables, meat and fish and add any of these products to the porridge. Munchkins hard to digest food of plant origin.

    You should know that food from the human table is not suitable for these pets. We offer you a list of undesirable products in the diet of munchkins:

    • canned foods;
    • bakery products;
    • beans;
    • salty and fatty foods;
    • pasta.

        The daily rate can be calculated by the weight of the animal.

        For small kittens, the rate is set as 5% of the total body weight, for adults - 10%.

        Health

        Cats with short legs do not have a predisposition to serious diseases. Even genetic diseases are not terrible for the Munchkins. They have a very strong immunity and, with proper care, practically do not get sick.

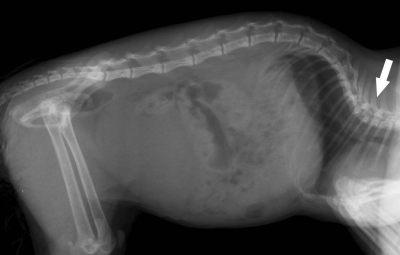
        The characteristic and only genetic disease of short-footed cats is presented as lordosis of the vertebral part of the skeleton. With such a defect, pets can suffer stretching in the thoracic region. This pathology can also provoke additional diseases. Usually they concern the internal organs. The heart and lungs become the most vulnerable.

        Lordosis

        At risk are animals with different genetic abnormalities. Also, lordosis can hit a cat with obesity. For this reason, you need to carefully monitor the diet of the animal. It is strictly forbidden to overfeed him and deviate from the recommendations related to food.

        It is interesting to know that Munchkin cats should be much larger than cats. Their muscles are usually developed much better than those of the opposite sex. Lacks of breed can be expressed in cats with too big and round eyes. A very large head is also a defect in a variety of cats with short legs. The speaker thoracic is also not an advantage of the breed. Munchkins should have a short nose.

        Snub is already considered a deviation, the same can be said about too long nose. One more deviation from the breed standard is considered to be a stocky body.A cat with curly hair can never get a title.

        Owner reviews

        On domestic sites you can find some reviews about pets munchkin breed. All because these animals were brought to Russia only 18 years ago and have not had time to get wide distribution. The owners of such cats emphasize that it is best to purchase a short-haired munchkin. All because the care of them is not difficult. With a long coat, you still have to tinker a bit and spend a lot of time on combing and unraveling, as well as bathing the animal.

        Many owners buy their pets a scraper to spend less time caring for them. But it still happens that their nail plate grows too fast.

        In this case, it is recommended to cut the nails twice a month.

          As mentioned earlier, you must carefully monitor the diet of the animal. When choosing products, owners came to the general opinion and usually buy dry food or organic products of the first freshness for their pets.

          It is necessary to closely monitor the volume of servings of animals and give food to adults no more than 2 times a day. Some owners faced the obesity of their pets, which was provoked by a violation of the diet. Munchkins have very good health and light abnormalities are not dangerous for them, which is not the case with obesity. It can cause lordosis, which, in turn, can adversely affect the heart muscle.

          Mostly on the Internet you can find a few, but positive reviews about the breed of short-footed cats. In the care they are quite picky, you only need to adhere to the basic recommendations for their content.

          For more information about Munchkin cats, see the following video.

          Write a comment
          Information provided for reference purposes. Do not self-medicate. For health, always consult a specialist.

          Fashion

          beauty

          Relations